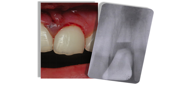
Root Canal Treatment

Has your dentist or endodontist told you that you need root canal treatment? If so, you're not alone. Millions of teeth are treated and saved each year with root canal, or endodontic, treatment. Learn more about root canal treatment and how it can relieve your tooth pain and save your smile.

Inside the tooth, under the white enamel and a hard layer called the dentin, is a soft tissue called the pulp. The pulp contains blood vessels, nerves and connective tissue, and helps to grow the root of your tooth during development. In a fully developed tooth, the tooth can survive without the pulp because the tooth continues to be nourished by the tissues surrounding it.
Learn More>

Endodontic Retreatment

With proper care, even teeth that have had root canal treatment can last a lifetime. But sometimes, a tooth that has been treated doesn't heal properly and can become painful or diseased months or even years after treatment. If your tooth failed to heal or develops new problems, you have a second chance. An additional procedure may be able to support healing and save your tooth. If you are experiencing dental pain or discomfort in a previously treated tooth, talk to an endodontist about retreatment.

Learn More >

Endodontic Surgery

Occasionally, a nonsurgical root canal procedure alone cannot save your tooth and your endodontist will recommend surgery. Endodontic surgery can be used to locate small fractures or hidden canals that weren't detected on x-rays or during previous treatment. Surgery may also be needed to remove calcium deposits in root canals, or to treat damaged root surfaces or the surrounding bone of the tooth. Endodontists use advanced technologies like digital imaging and operating microscopes to perform surgeries quickly, comfortably and successfully. Learn more>

Regenerative Endodontics:Revascularization

Regenerative endodontics is one of the most exciting developments in dentistry today and endodontists are at the forefront of this cutting-edge research. Regenerative endodontics uses the concept of tissue engineering to restore the root canals to a healthy state, allowing for continued development of the root and surrounding tissue. Endodontists’ knowledge in the fields of pulp biology, dental trauma and tissue engineering can be applied to deliver biologically based regenerative endodontic treatment of necrotic immature permanent teeth resulting in continued root development, increased thickness in the dentinal walls and apical closure. These developments in regeneration of a functional pulp-dentin complex have a promising impact on efforts to retain the natural dentition, the ultimate goal of endodontic treatment. Learn More >

Preformed posts and Build-ups

A post & core buildup connects a tooth that has had a root canal to a crown. It is generally performed on a tooth after a root canal and prior to placing a crown on the tooth. Although not all root canalled teeth need post & cores, many do. After placement of a post & core, it is recommended that a crown is placed on the tooth. Waiting too long for the crown may cause the tooth to break. The tooth could then be lost.

The first step in placing a post is performing root canal therapy on the tooth to remove the infection and shape the root canal to receive the post. We’ll use a small instrument called a dental file to shape the top of the root canal, select a post, and then cement or bond it in place. After the post is in place, we fill the tooth with the new core material. Once it has hardened, the core material is shaped and prepared to receive a crown. We then take an impression of your teeth so a dental laboratory can custom-craft a crown that will precisely fit your tooth.

Cracked Teeth

There are many different types of cracked teeth. Cracked teeth show a variety of symptoms, including erratic pain when chewing, possibly with release of biting pressure, or pain when your tooth is exposed to temperature extremes. In many cases, the pain may come and go, and your dentist may have difficulty locating which tooth is causing the discomfort. If you are experiencing these dental symptoms or suspect a cracked tooth, see an endodontist, who specializes in saving cracked teeth.

The treatment and outcome for your tooth depends on the type, location and extent of the crack. If you think you have a cracked tooth, it's important to seek treatment quickly, before the problem gets worse. Once treated, most cracked teeth continue to function and provide years of comfortable chewing. Learn More >

Traumatic Dental Injuries

Traumatic dental injuries often occur in accidents or sports-related injuries. Chipped teeth account for the majority of all dental injuries. Dislodged or knocked-out teeth are examples of less frequent, but more severe injuries. Treatment depends on the type, location and severity of each injury. Any dental injury, even if apparently mild, requires examination by a dentist or an endodontist immediately. Sometimes, neighboring teeth suffer an additional, unnoticed injury that will only be detected by a thorough dental exam. Endodontists are dentists who specialize in treating traumatic dental injuries. With their advanced skills, techniques and technologies they can often save injured teeth.
Learn More>